Category Archives: Union City Mini Dental Implants
Why Choosing a Specialized Implant Dentist Matters
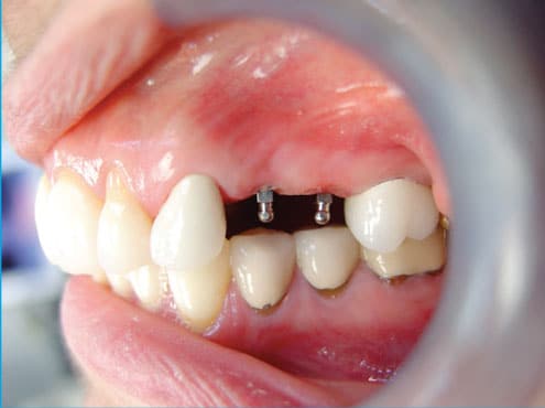
Dental implants are widely considered to be the best option when it comes to restoring [...]
Can I Delay Root Canal Therapy?
If you’re experiencing lingering tooth sensitivity, sharp pain while chewing or biting, and swollen or [...]
Is Wisdom Tooth Extraction Painful? Answers to Your Biggest Questions
As wisdom teeth emerge, they can grow at odd angles, become impacted, or force the [...]
1 Comment
Dental Crown Treatment: Is It Worth the Investment?
Some people know the unfortunate experience of breaking a tooth the day before a big [...]
Five-Star Treatment from a Hudson County Implant Dentist
Nearly 180 million Americans are missing at least one tooth, and about 40 million are [...]
Mini Dental Implants: What’s the Cost?
If you’re missing teeth and ready to replace them, you may have explored the option [...]
Facts Everyone Should Know About Gum Disease
According to the Centers for Disease Control and Prevention (CDC), 47.2% of adults over 30 [...]
What Is a Mini Implant Dentist?
Over the past few years, dental implants have become one of the most popular ways [...]
Same-Day Crowns vs. Lab-Made Crowns
When your dentist informs you that one of your teeth is decayed or broken beyond [...]
1 Comment
Safe and Effective Dental Implants in Jersey City
Are you or someone you know missing one or more teeth? Luckily, we live in [...]
Snap-On Dentures: An Alternative for Replacing Your Teeth
When you’re missing most or all of your teeth, your first thought may be getting [...]
1 Comment
First-Rate Union City Dentist
Has it been a while since you’ve visited a Union City dentist? Whether you put [...]
Dental Implant Cost: Explaining Your Treatment
Losing a tooth is stressful enough without worrying about the costs of replacing it. When [...]
Looking for a Dentist in Union City?
Whether you need a routine cleaning, an extraction, or a complete mouth restoration, we promise [...]
Learn How Much Mini Dental Implants Cost
Many years ago, a denture or implant was the only way to replace missing teeth. [...]
Breaking Down the Mini Tooth Implants Cost
Conventional dental implants are considered to be the highest standard for replacing missing teeth. Unfortunately, [...]
The Benefits of Mini Dental Implants
If you’ve been looking into tooth replacement options, then odds are, you’ve come across dental [...]
What You Should Know About Mini Dental Implant Dentures
Millions of people in the United States are missing teeth, and dentures have long been [...]
1 Comment
Mini Dental Implants in New Jersey Restore Smiles
Some patients have trouble adjusting to dentures but are not candidates for full dental implants. [...]
How Much Do Mini Tooth Implants Cost?
If you are missing teeth, you may be looking into treatments that offer you long-lasting [...]
1 Comment
How Much Do Mini Dental Implants Cost?
You may be eager to find a solution if you have missing teeth, and mini [...]
2 Comment
Finding a Dentist in Union City
Are you looking for a dentist near you? We appreciate the importance of finding the [...]
- 1
- 2
